Pinus staminate cone ls 18 10x | The BCIT cIRcuit

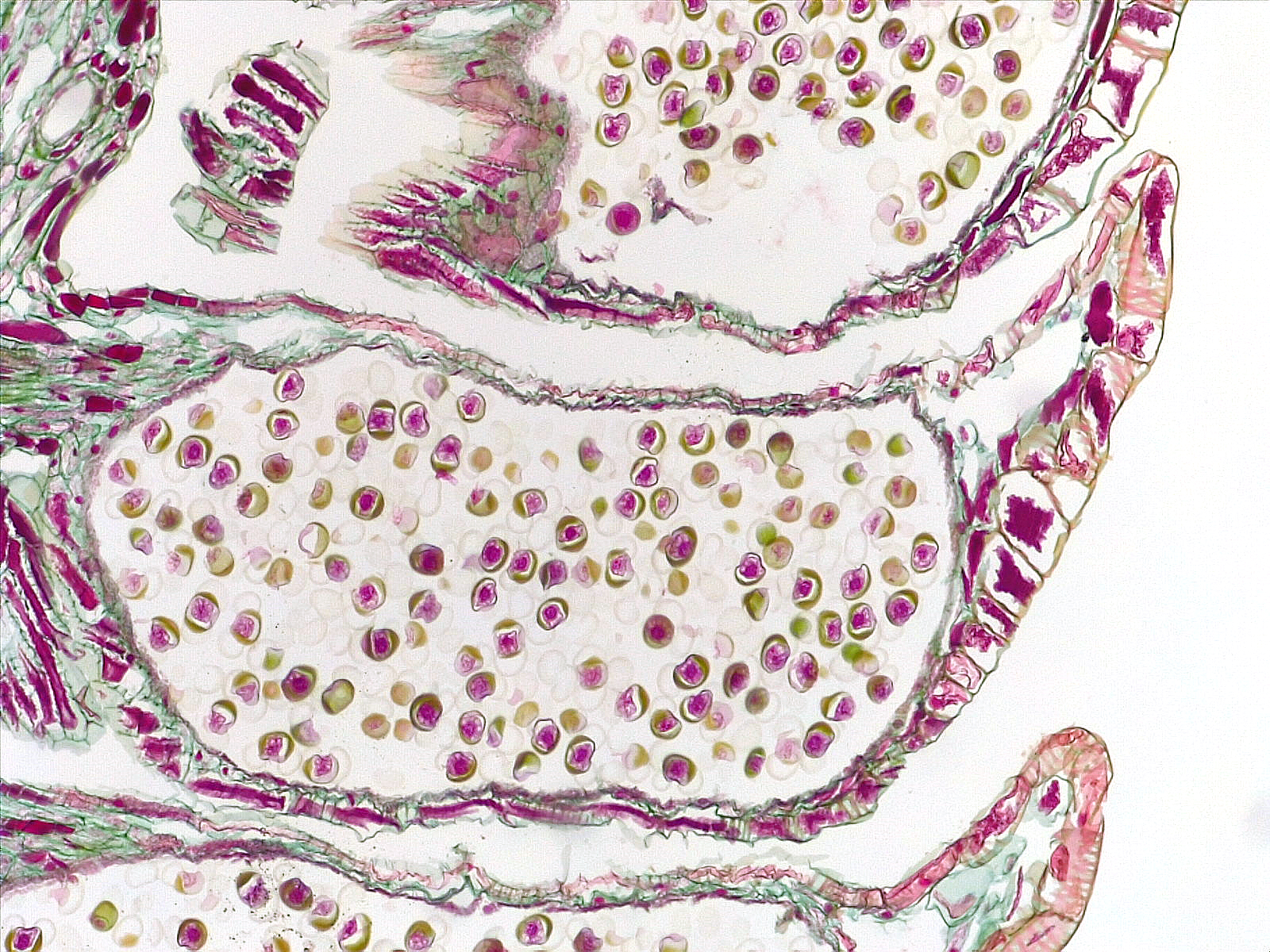
Pinus staminate cone ls 18 10x