Pinus staminate cone ls 17 4x | The BCIT cIRcuit

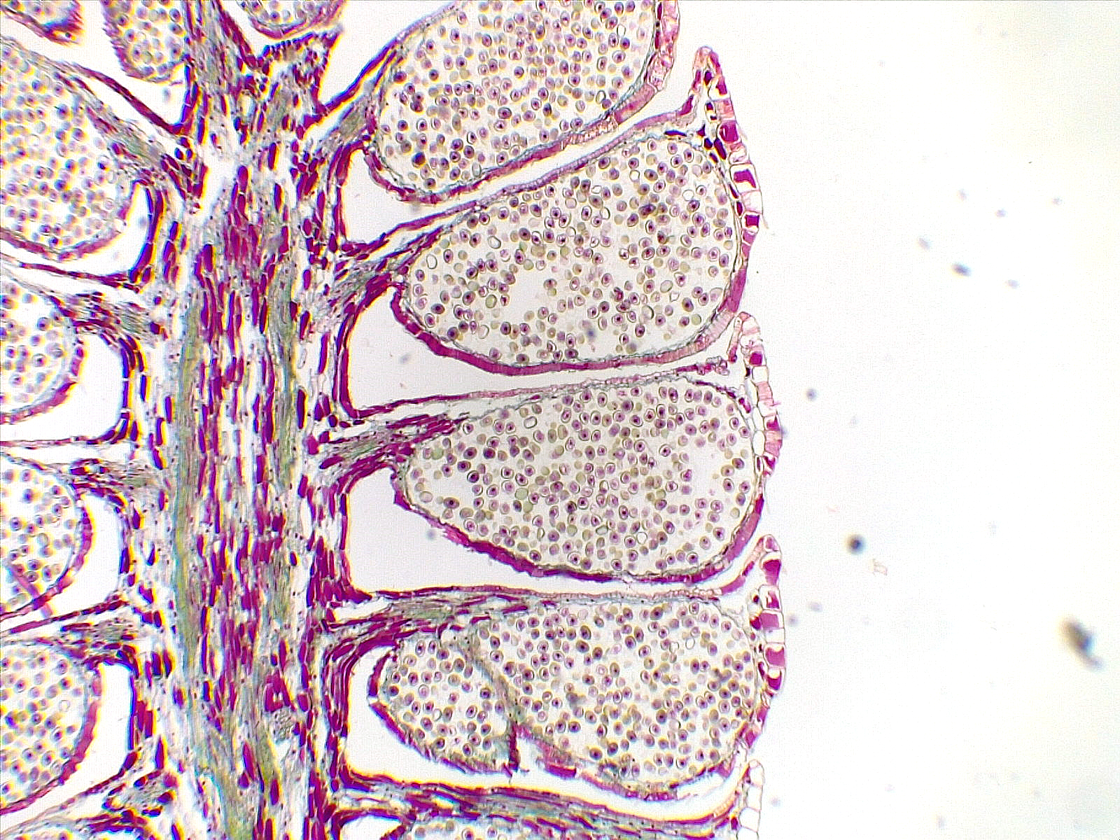
Pinus staminate cone ls 17 4x