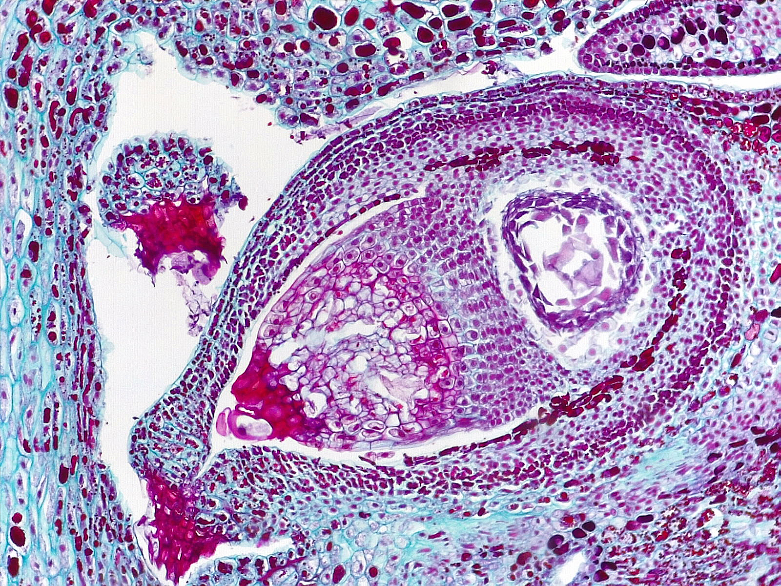
Pinus ovulate cone ls 23 10x | The BCIT cIRcuit

Pinus ovulate cone ls 23 10x